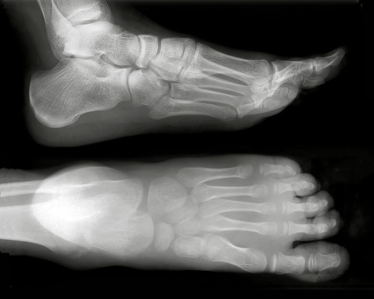
Ayak bileği çatlak tedavisi nasıl yapılır?

Ayak bileği çatlakları, genellikle spor yaralanmaları ve düşmeler sonucunda oluşan ciddi yaralanmalardır. Bu yazıda, çatlakların tedavi yöntemleri ve rehabilitasyon süreci detaylandırılmakta; erken müdahale ve uzman desteğinin önemi vurgulanmaktadır. Ayak bileği sağlığı, genel hareket kabiliyeti açısından kritik bir rol oynamaktadır.
05 Kasım 2025

Ayak Bileği Çatlak Tedavisi Nasıl Yapılır?


Ayak bileği çatlakları, genellikle spor yaralanmaları, düşme veya aşırı zorlanma gibi durumlar sonucunda meydana gelir. Bu tür yaralanmalar, ağrı, şişlik ve hareket kısıtlılığına yol açabilir. Ayak bileği çatlaklarının tedavisi, yaralanmanın ciddiyetine ve türüne bağlı olarak değişiklik göstermektedir. Bu makalede, ayak bileği çatlaklarının tedavi yöntemlerini detaylı bir şekilde ele alacağız.

Ayak Bileği Çatlağı Nedir?


Ayak bileği çatlağı, ayak bileğindeki kemiklerin (genellikle tibia, fibula veya tarsal kemikler) bütünlüğünün bozulmasıyla oluşan bir yaralanmadır. Bu tür yaralanmalar, çeşitli derecelerde olabilir ve genellikle aşağıdaki belirtilerle kendini gösterir:
  • Ağrı
  • Şişlik
  • Morarma
  • Hareket kısıtlılığı

Tedavi Yöntemleri


Ayak bileği çatlaklarının tedavi süreci, yaralanmanın tipine ve ciddiyetine bağlı olarak değişir. Tedavi yöntemleri genel olarak şu şekildedir:
  • İlk Yardım Uygulamaları: Yaralanma anında, ilk yardım uygulamaları son derece önemlidir. Buz uygulaması, ağrıyı ve şişliği azaltabilir. Ayrıca, ayak bileğinin hareket ettirilmemesi ve yük bindirilmemesi gerekir.
  • İstirahat: Yaralanmanın iyileşmesi için istirahat etmek gereklidir. Ayak bileğinin dinlendirilmesi, iyileşme sürecini hızlandırır.
  • Bandajlama ve Atel Kullanımı: Çatlak olan bölgenin desteklenmesi amacıyla bandajlama ve atel kullanımı önerilmektedir. Bu, yaralanmanın daha fazla zarar görmesini engeller.
  • Ağrı Kesiciler: Doktor önerisiyle, ağrıyı azaltmak için ağrı kesici ilaçlar kullanılabilir.
  • Fizik Tedavi: Yaralanmanın ardından, fizik tedavi uygulamaları ile güçlendirme çalışmaları yapılabilir. Bu, ayak bileği fonksiyonlarının yeniden kazanılmasına yardımcı olur.
  • Cerrahi Müdahale: Eğer çatlak ciddi bir seviyedeyse ve kemiklerin hizalanmasında sorun varsa, cerrahi müdahale gerekebilir. Bu durumda, cerrah tarafından çatlağın onarılması işlemi gerçekleştirilir.

Rehabilitasyon Süreci

Ayak bileği çatlak tedavisi sonrasında, rehabilitasyon süreci oldukça önemlidir. Rehabilitasyon, yaralanmanın ardından ayak bileğinin normal fonksiyonlarına dönmesi için gerekli olan egzersiz ve aktivitelerin yapılmasını içerir. Bu süreç, genellikle aşağıdaki adımları kapsar:
  • Güçlendirme Egzersizleri: Ayak bileğinin kaslarını güçlendirmek için belirli egzersizler yapılır.
  • Denge ve Koordinasyon Çalışmaları: Ayak bileği denge ve koordinasyonunu artırmaya yönelik çalışmalar gerçekleştirilir.
  • Esneklik Egzersizleri: Ayak bileğinin esnekliğini artırmak amacıyla esneme egzersizleri yapılır.

Sonuç

Ayak bileği çatlakları, uygun tedavi yöntemleriyle başarılı bir şekilde yönetilebilir. Tedavi sürecinde, her bireyin durumu farklı olduğundan, uzman bir sağlık profesyoneline danışmak önemlidir. Erken müdahale ve doğru tedavi yöntemleri, iyileşme sürecini hızlandırır ve komplikasyonların önlenmesine yardımcı olur. Unutulmamalıdır ki, ayak bileği sağlığı, genel hareket kabiliyetini etkileyen önemli bir faktördür.

Ekstra Bilgiler

- Ayak bileği yaralanmalarından korunmak için uygun ayakkabı seçimi ve spor yaparken dikkatli olunması önerilir.- Osteoporoz gibi kemik sağlığını etkileyen durumlar, çatlak oluşumunu artırabilir. Bu nedenle düzenli kontroller ve sağlıklı yaşam tarzı benimsemek önemlidir.- Rehabilitasyon sürecinde sabırlı olmak ve uzman önerilerine uymak, iyileşme sürecini olumlu yönde etkiler.

Yeni Soru Sor / Yorum Yap
şifre
Sizden Gelen Sorular / Yorumlar
Çok Okunanlar
Hemoroid Çatlak Tedavisi
Hemoroid Çatlak Tedavisi
Haber Bülteni
Güncel
El Çatlakları Belirtileri ve Tedavisi
El Çatlakları Belirtileri ve Tedavisi
Güncel
Kol Kırığının Nedenleri?
Kol Kırığının Nedenleri?
Güncel
Vücut Çatlakları Belirtileri ve Tedavisi
Vücut Çatlakları Belirtileri ve Tedavisi
Deri Çatlakları Belirtileri ve Tedavisi
Deri Çatlakları Belirtileri ve Tedavisi
Çatlak Kemik Belirtileri ve Tedavisi
Çatlak Kemik Belirtileri ve Tedavisi
Çatlak Belirtileri ve Tedavisi
Çatlak Belirtileri ve Tedavisi
Doğum Çatlakları Nasıl Geçer?
Doğum Çatlakları Nasıl Geçer?
Karın Çatlakları Belirtileri ve Tedavisi
Karın Çatlakları Belirtileri ve Tedavisi
Dudak Çatlağına Ne İyi Gelir?
Dudak Çatlağına Ne İyi Gelir?
Lazerle Çatlak Tedavisi
Lazerle Çatlak Tedavisi
Kalçadaki Çatlaklar Nasıl Geçer?
Kalçadaki Çatlaklar Nasıl Geçer?
Hamilelik Çatlakları Belirtileri ve Tedavisi
Hamilelik Çatlakları Belirtileri ve Tedavisi